Decay of Milk Teeth
This section of our site is to help educate you about the dangers of Early Childhood Caries, and the simple effective measures you can take to prevent this painful and dangerous condition from happening to your child.
Early Childhood Caries
Early childhood Caries is a dental condition that erodes an infant's teeth and occurs when a child's teeth are exposed to sugary liquids frequently or for long periods. Some of these sugary liquids are milk (including breast milk), formula, fruit juice, soda and other sweetened liquids. The problem occurs when this sugary liquid accumulates around the teeth and creates an environment for decay. Some infants will have a high level of decay forming bacteria and will be at increased risk of developing decay if they are given frequent sugary or acidic liquids. Sending your infant to bed with a bottle generates this environment - it is like a mouthful of candy.
How do infants get decay-forming bacteria?
Decay-forming bacteria (Mutans Streptococci) are transferred in saliva usually from the infant's primarily caregiver. This can occur from sharing spoons and foods. There is a high correlation between the mother and child's bacterial counts, ie: if the mother has a high number of decay-forming bacteria the child will also "catch" these. So if mum has good oral hygiene and no decayed teeth, her child has a lower risk of acquiring decay-forming bacteria.
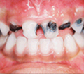
A Case of Rampant caries (Nursing bottle caries)