What does getting dental implants involve?

The process of getting implants requires a number of visits over several months.

X-Rays and impressions (molds) are taken of the jaw and teeth to determine bone, gum tissue, and spacing available for an implant. While the area is numb, the implant will be surgically placed into the bone and allowed to heal and integrate itself onto the bone for up to six months. Depending on the type of implant, a second surgery may be required in order to place the "post" that will hold the artificial tooth in place. With other implants the post and anchor are already attached and placed at the same time.

After several weeks of healing the artificial teeth are made and fitted to the post portion of the anchor. Because several fittings may be required, this step may take one to two months to complete. After a healing period, the artificial teeth are securely attached to the implant, providing excellent stability and comfort to the patient.

You will receive care instructions when your treatment is completed. Good oral hygiene, eating habits, and regular dental visits will aid in the life of your new implant.

The patient came to us with the tooth already extracted (missing)
First step to surgically place the implant in the bone
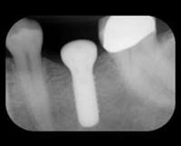
The Patient wears a "healing cap" while the implant integrates with the bone. Typically three to six months.
The doctor removes the "healing cap" to place the abutment, then takes an impression of this to send the lab to make your new crown.
The abutment act as a connector between the actual implant and the new crown.
The new crown is now put into place and the patient can chew and floss as normal.